Clínica Dental Gálvez

Clínica Dental Gálvez tu dentista en Molina de Segura, Murcia.
En Clínica Dental Gálvez nos ponemos a tu disposición para darte el mejor servicio. Ofrecemos descuentos especiales a los trabajadores y sus familiares directos de las empresas asociadas a nuestra clínica tales como: SERCOMOSA, RESIDENCIA NUESTR. SEÑORA DE FATIMA, C.C.O.O., CLUB DE BALONCESTO MOLINA BASKET.
Financiación hasta 36 meses sin intereses y las últimas novedades en tratamientos.
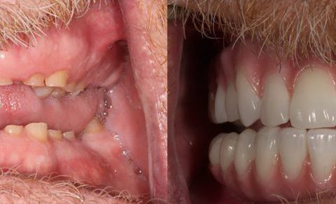
Entre nuestros servicios caben destacar: rehabilitaciones estéticas,implantes, ortodoncia convencional y estética para niños y adultos,prótesis fija y removible, reparaciones urgentes, revisiónes gratuitas con cámara intraoral.
¿Por qué elegirnos?
Venga a visitarnos
Dirección
C/ Caridad, 20 – Molina de Segura (Murcia)
Teléfono
968 64 42 44 / 685 116 078
Horario
De Lunes a Viernes: Mañanas de 09:30h a 13:30h
Tardes de 17:00h a 21:00h





